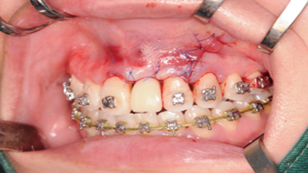
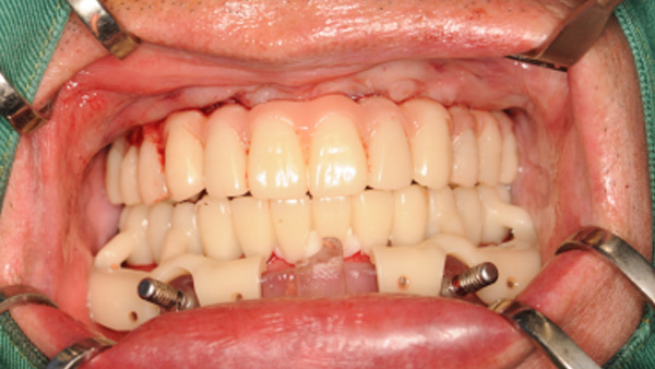
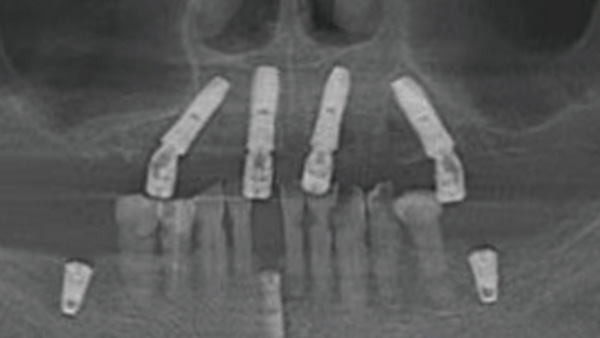
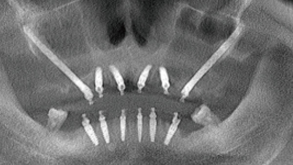
High precision
Distance deviation ≤ 0.5 mm, angle deviation ≤ 1°
Wide range of Applications
Covering all teeth positions, immediate implant placement, immediate restoration, dual-arch implant placement and immediate restoration





















